A FEW CASES BY DR COTTLE

Often times we are asked if root canal treatment "really works". The answer: It really does! Especially when accompanied by an appropriate restoration (filling, crown, etc.) after endodontic treatment. Of course, the reality of any medical or dental procedure can't always turn out the way we want or hope, but the fact is that most endodontic procedures can lead to healing of inflamed and infected tissues, especially when completed by an endodontic specialist. Here are a few cases that show how amazingly the body can heal when we remove the offending nerve or tooth infection. The dark shadows below and around the roots are holes in the bone caused by bacterial infections. The body wants to heal this area and can do so in most cases after the infection is effectively removed from the tooth via root canal treatment. Some cases included below also reveal just how complex the nerve canal anatomy can be.

1_pre1 (1)
5-5 yr recall

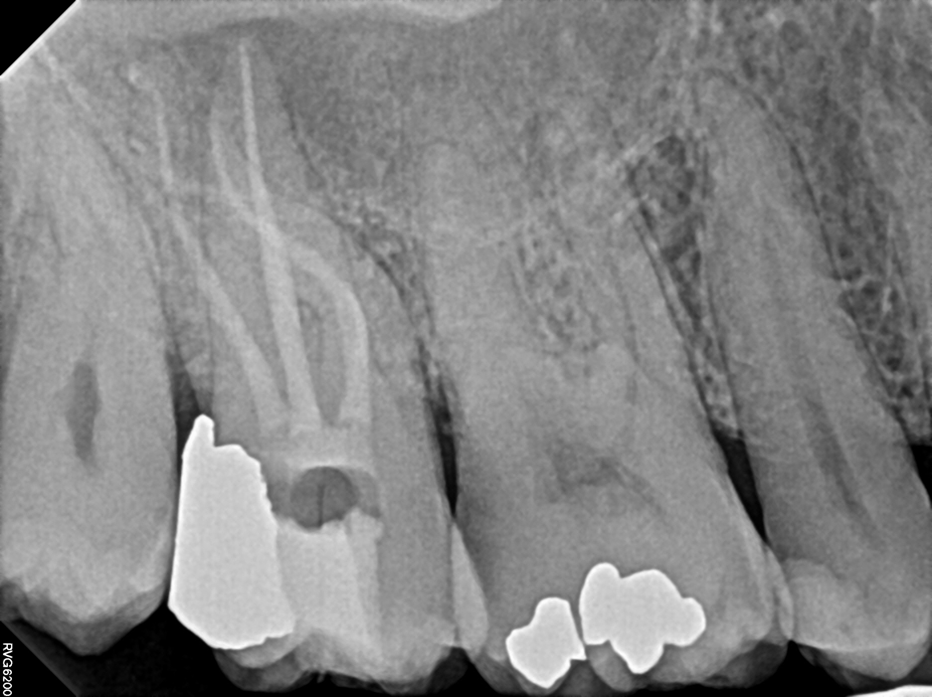
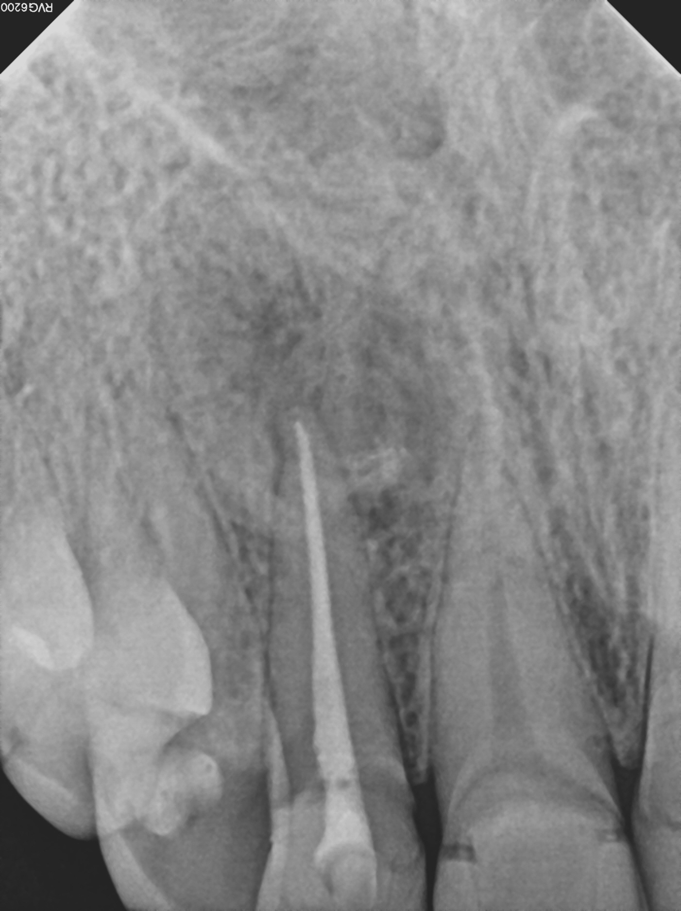
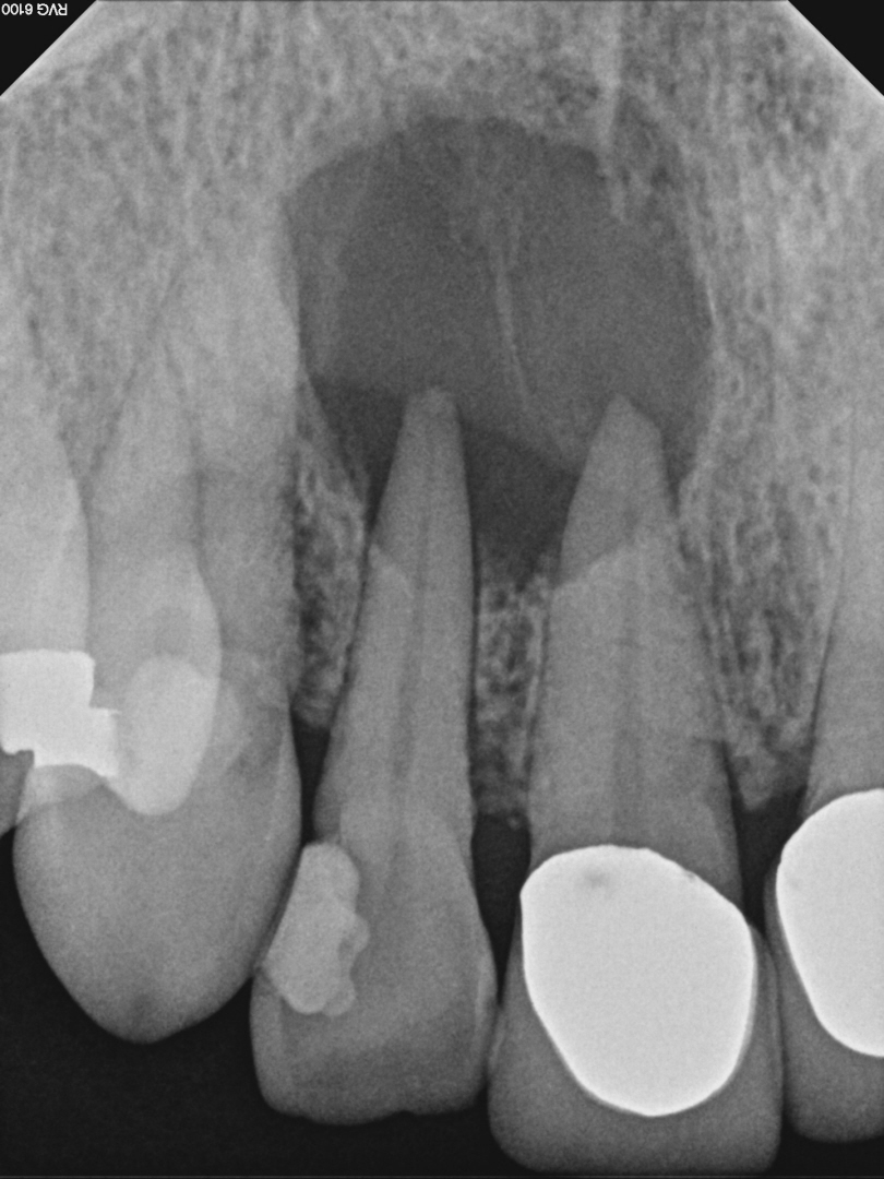
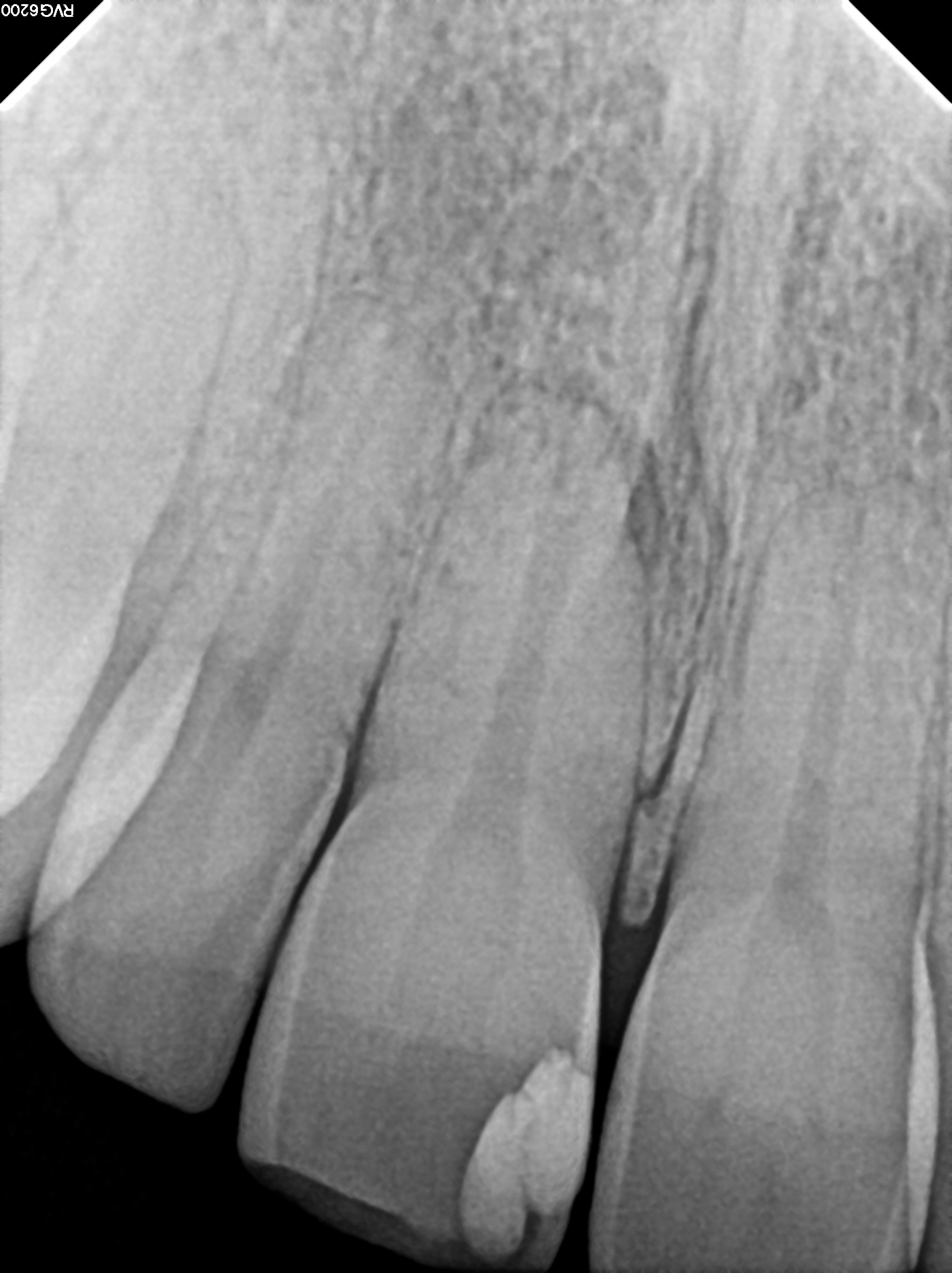
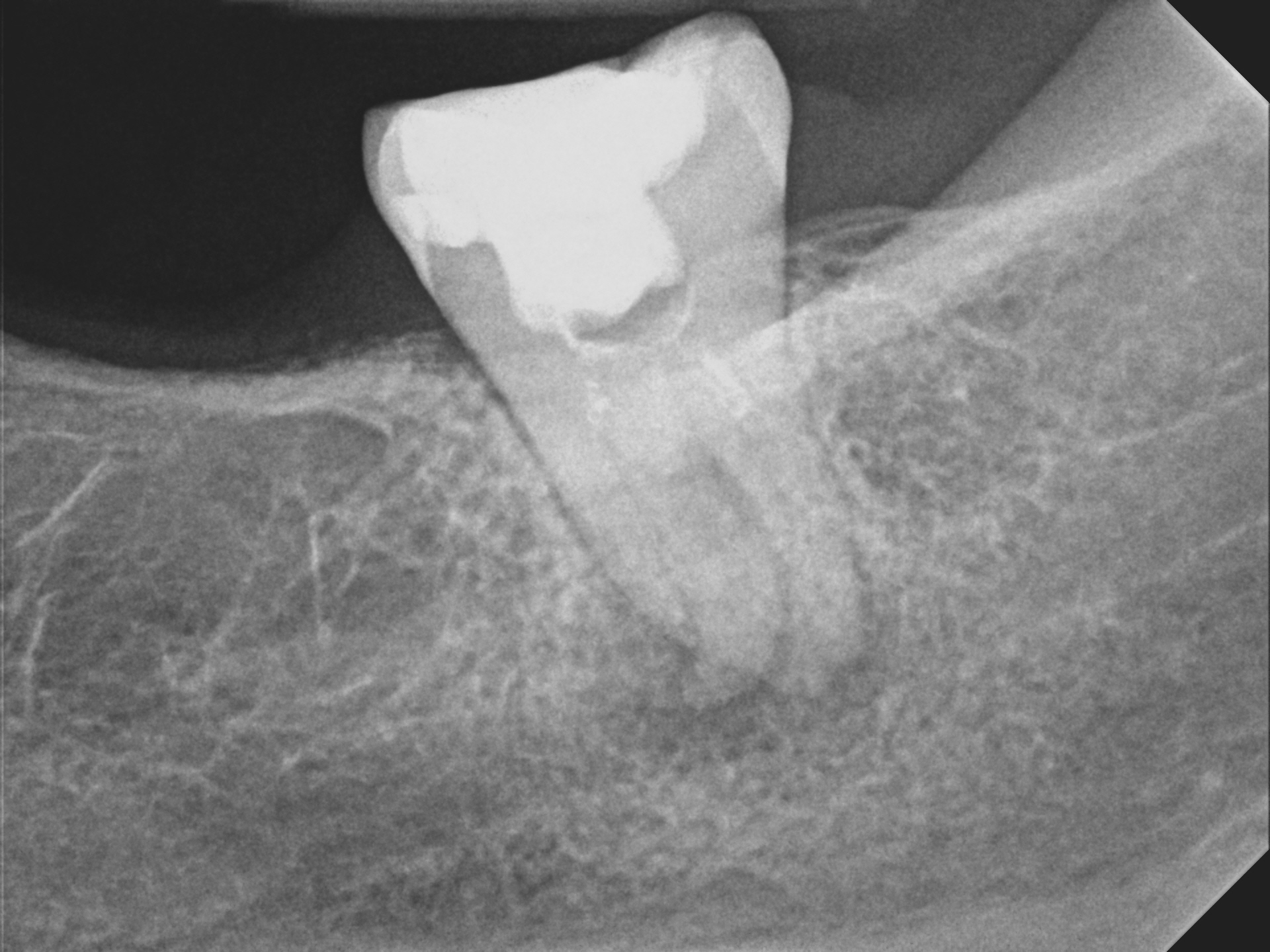
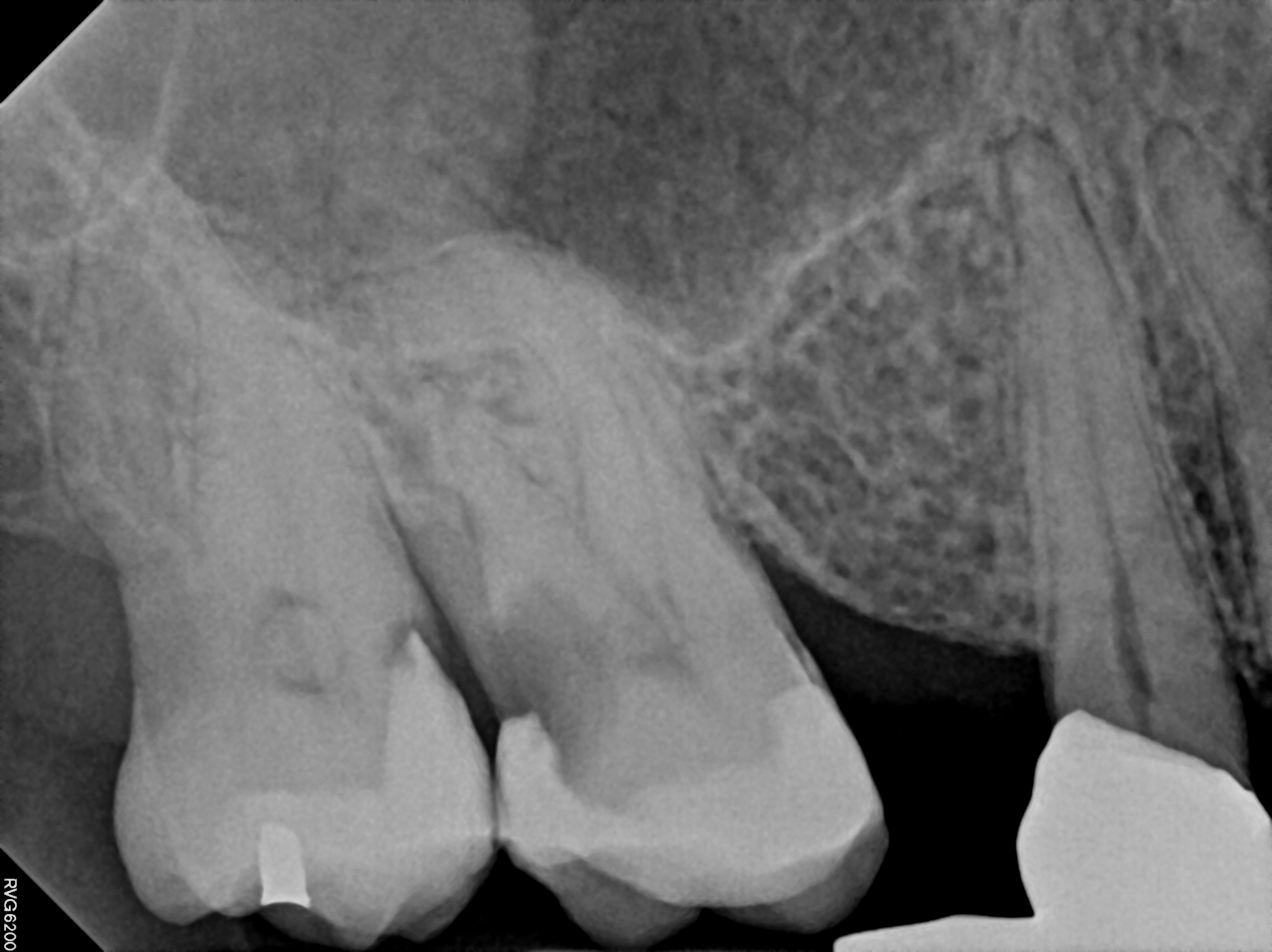
Case 1

This case shows two upper front teeth, #7 and #8, that were both contributing to the large infection. This infection eroded away the bone above the tooth in a "through-and-through" manner, meaning that the thicker, outer layer of bone on the palate side and also on the lip side of the jaw bone was eroded away. The picture on the left is a pre-treatment image, and the picture on the right is 5 years later, showing complete healing. The body is perfectly happy with these two teeth, evidenced by the bone directly in contact with the roots.

1yr-recall-2
1yr-recall-2 (2)

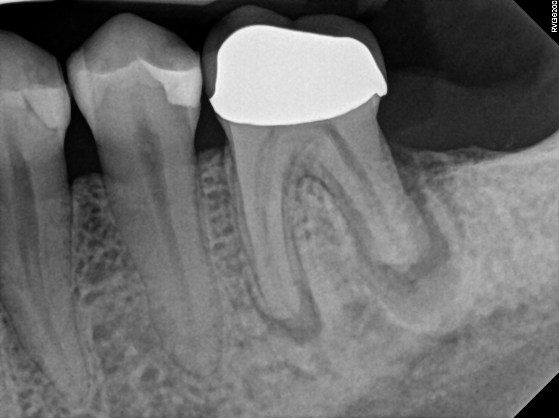
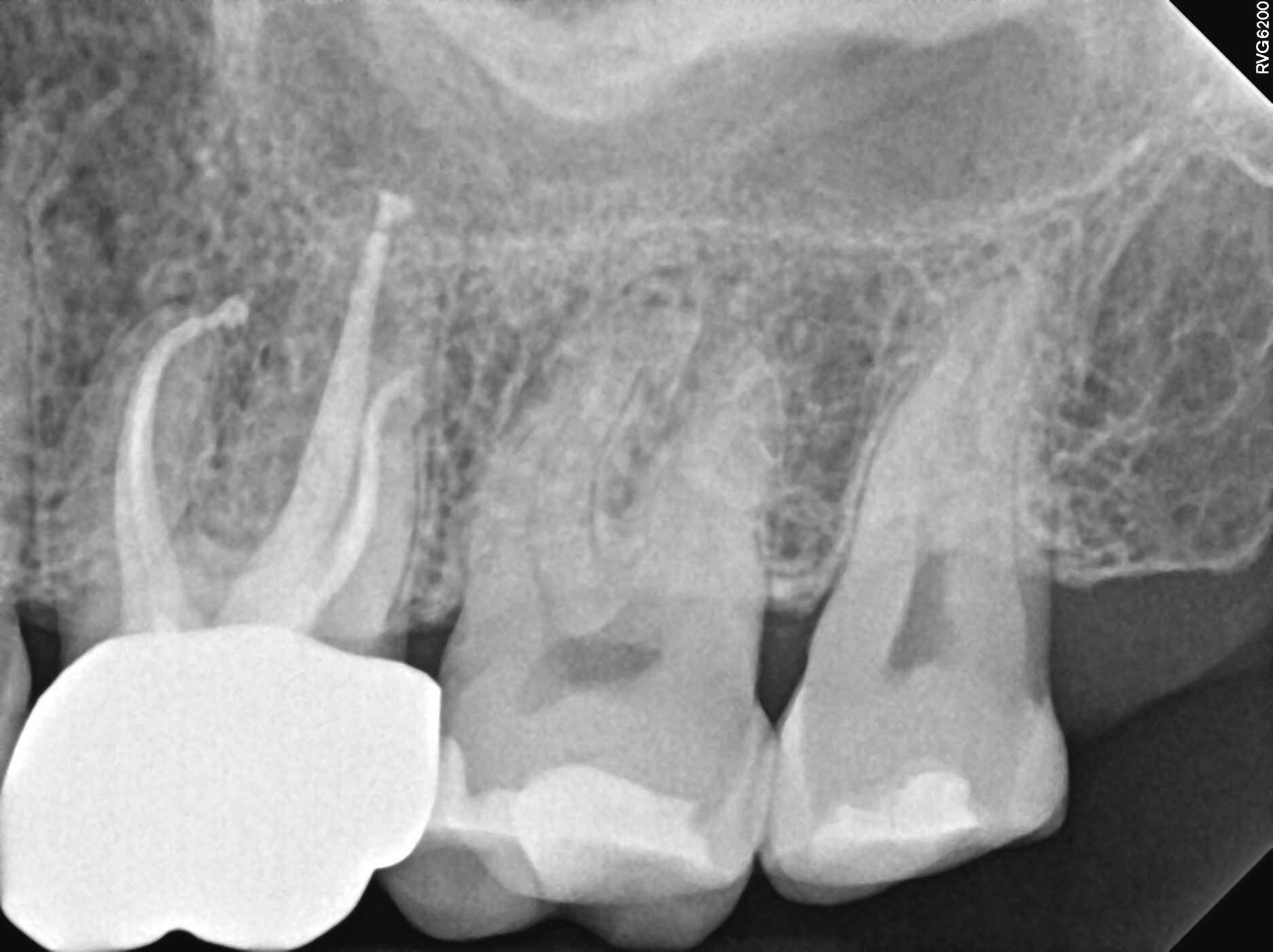
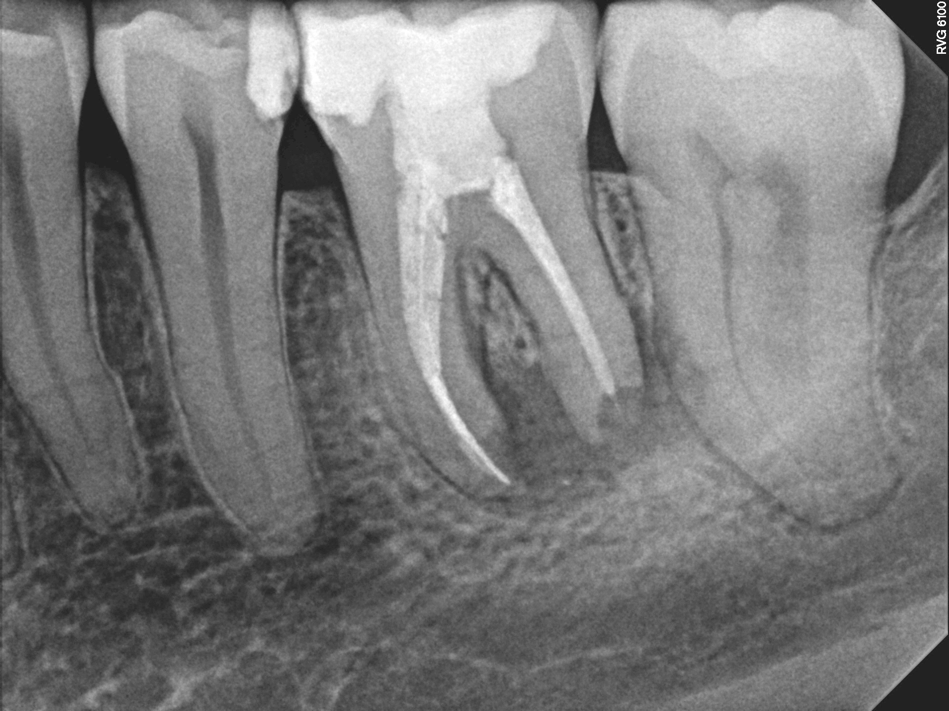
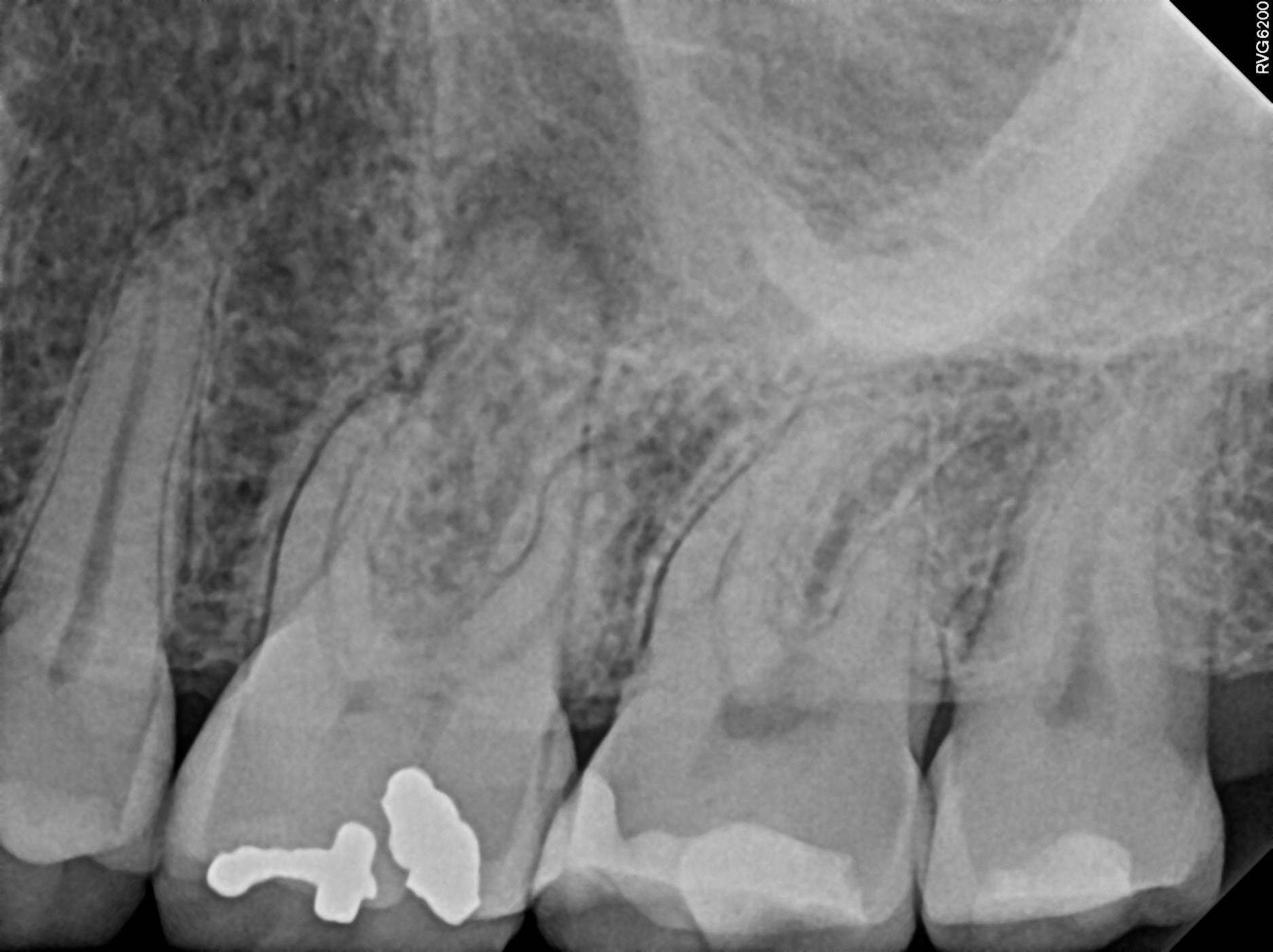
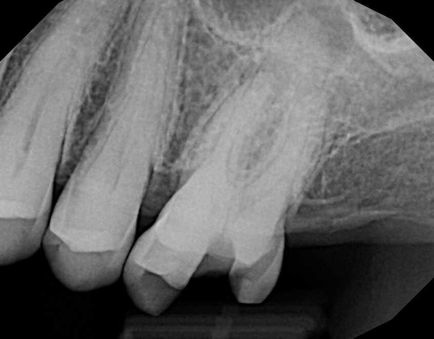
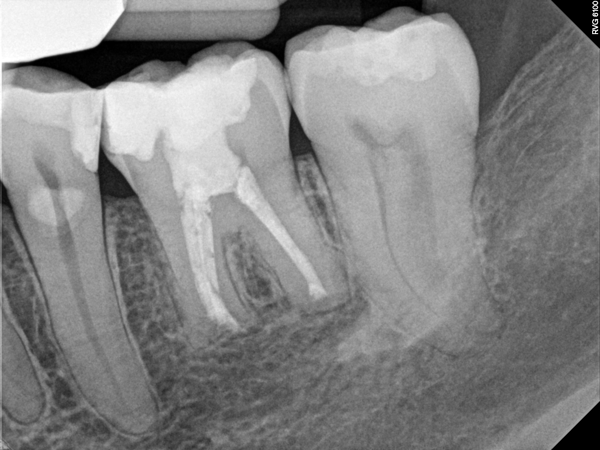
Case 2

This is a retreatment case. The picture on the left shows a lower molar that had been root canal treated many years prior, but either did not heal or at some point afterward became re-infected. The lesion is quite large, extending to the inferior alveolar nerve. While retreating the case Dr Cottle found a previously missed nerve canal (three in one root, five total in this one molar) and was able to disinfect all the canals again. The image on the right shows the completely healed bone one year later.

pre1
recall1 1yr

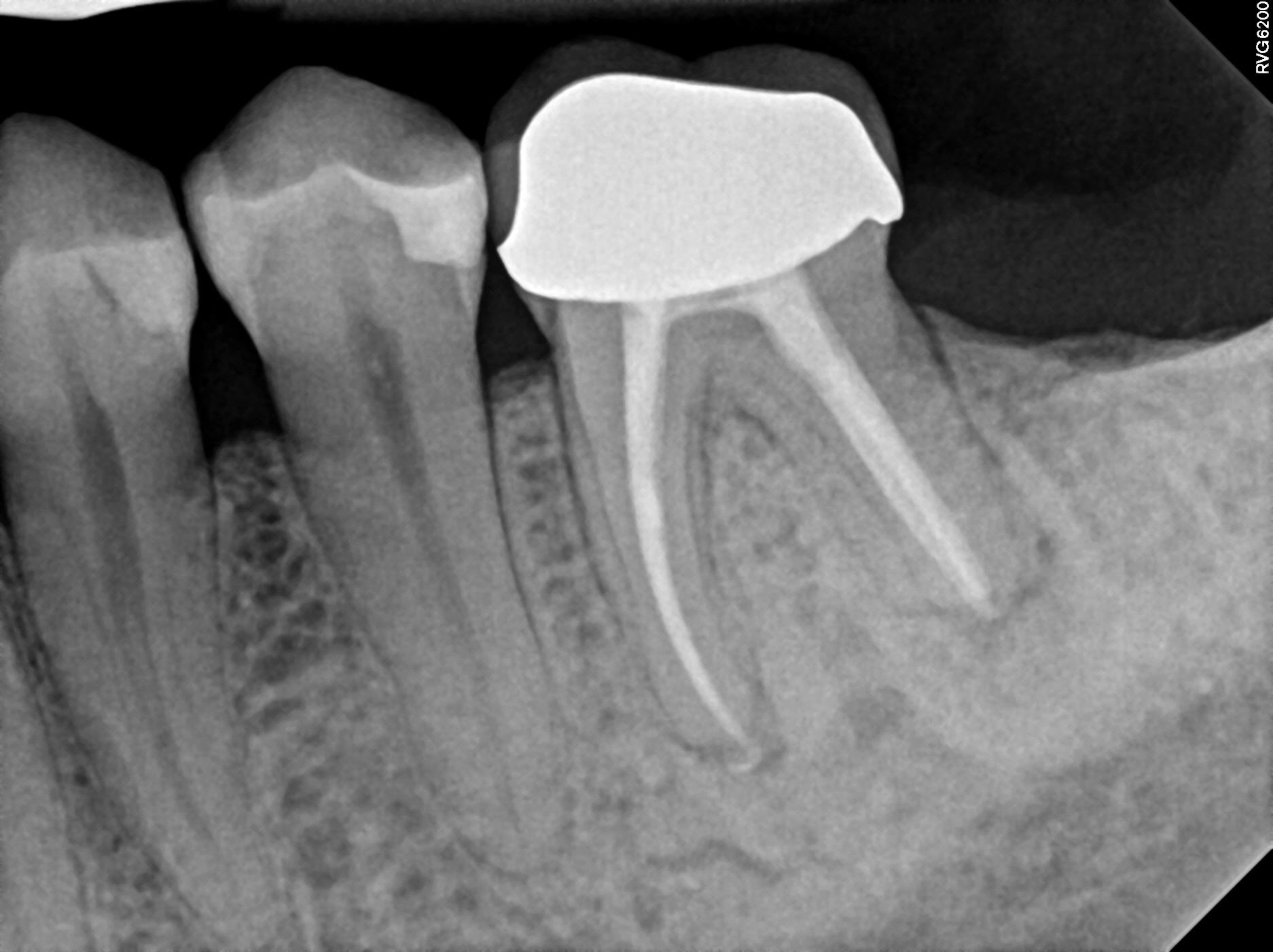
Case 3

The left images shows that the molar has one root shorter than the other--this is not how this tooth started out. This case shows that even the root of a tooth can be eroded away by a tooth infection, just like the bone, when an infection is present. The infection extended all around the back root--the dark areas around the tooth are infection-related bone loss. The front root had an infection just at the root tip. The right images shows complete healing.

1_pre1
7_1 yr recall2

Case 4

A very large infection with a lower molar. The infection extended far from the offending molar and contacts the adjacent teeth. This can lead to the other teeth becoming infected as well, but luckily for this patient, the adjacent teeth were just fine when we started treatment. The right image (one year later) shows the dramatic healing of bone re-growing into the hold in his jaw created by the previous infection. The adjacent teeth remained in good health.

29a
33a
30a
32a

Case 5

Another case showing dramatic healing from root canal treatment. This patient had chronic sinus inflammation that never seemed to heal. The cause--an infected tooth. The top row images show both an erosion of the sinus floor from the tooth roots into the sinus cavity, as well as significant inflammation (swelling) of the sinus soft tissues that line the sinus. During retreatment I was able to find and clean all the canals, including one canal that was previously missed during the first root canal (I did not treat the original root canal). The bottom row images (one year later) shows complete re-establishment of the sinus floor (the bone that separates the sinus from the teeth) and complete resolution of the sinus swelling. There is no more infection. This retreatment case shows that even if a root canal treatment has failed, it can still often be saved. Always seek evaluation from an Endodontist before pulling out a "failing root canal"!

1_pre
5_9 mon recall (pt moved away)

Case 6

Similar to Case 1 above, this shows an upper front incisor with a deep and extensive hole in the jaw bone caused by a tooth infection, that has completely healed 9 months later after a simple, painless root canal treatment.

3_pre CBCT
8_recall 1 yr CBCT

Case 7

These images are from a 3D scan and show how important is a correct diagnosis. The pre-treatment image on the left shows what looks like two teeth with infections, but thorough testing showed that only one tooth needed treatment. The right image shows complete healing--around both teeth-- one year later. A careful diagnosis resulted in saving the adjacent tooth from unneeded treatment.

1_pre1
2_post2 (3 POEs seen)

Case 8

This case shows that the root canal space as it divides at the tip of the root into three separate branches. This is not evident in the pre-treatment image on the left, but it is evident on the post-treatment image on the left because our root canal filling materials have filled the branches. Look at the highest root tip with the three separating branches. This image was just 3 months after the treatment, and we already see significant bone fill around the roots.

1_pre1
3_post1

Case 9

This case shows just how curved the roots of teeth can be, which can lead to the nerve canal spaces being difficult to fully treat. These types of cases are often referred to endodontic specialists for treatment due to the added complexity of the curved roots.

1_pre1
3_post1
2_MC
4_recall 1yr

Case 10

This case also highlights curved roots. The first image is before treatment--notice the abscess in the bone (the dark shadows at the root tips). The second is during treatment and you can see the filling materials in the sharp curve of one of the roots. The third image is the immediate post-treatment image. The fourth image is one year later--notice the abscess (the dark shadows at the root tips) has healed. Unfortunately the tooth was never restored with a permanent filling or crown and the tooth had broken down further at this point and may need to be extracted despite the infection healing perfectly--it's critical to follow up with your general dentist for a final restoration!

8a
13a

Case 11

S-curved roots in an upper right molar.

pre1
post1

Case 12

Another great example of how the nerve canal space can have branching canals. The right images shows the root canal filing in the branching canals.

1_pre1
3_recall 4yr

Case 13

The left image is prior to treatment. This tooth became infected due to a crack in the tooth. The darker areas above the root tips is the abscess. A crown was placed to protect the tooth from cracking further. The right image is 4 years later--we can see complete bone healing.

1_Case7 PreOp1 11-24-2014
11_Case7 PostOp1 12-11-2014
14_Case7 Recall2 9-27-2016

Case 14

An example of a root end surgery (apicoectomy). The tooth had a prior root canal treatment and an instrument broke inside the root. There was also resorption (dissolving) of the root tip by the infection. The broken file blocks treatment in the canal space, so I surgically removed the portions of the root with the instrument and also the portion of the other root with the resorption. The ends of the roots were cleaned and filled. The final X-ray, taken two years later, shows perfect healing.